Esposa leva marido “constipado” ao hospital e médicos encontram garrafa presa no intestino
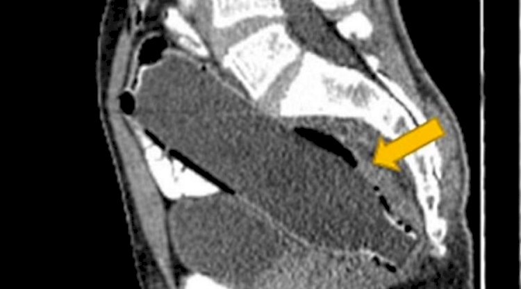
A garrafa possuía 19 cm e foi inserida pelo paciente via retal. Incapaz de retirar o objeto por 3 dias, foi parar no pronto-socorro
Ocaso de um homem iraniano foi tema de publicação científica sobre estudo e caso após médicos retirarem, via anal, uma garrafa d’água de 19 cm.
O homem, de 50 anos, que dizia estar “constipado”, estava em pânico com a possível reação de sua esposa, e demorou 3 dias para procurar ajuda médica.
A esposa, que não imaginava o que estava ocorrendo, levou o marido ao hospital por estar sem comer, sentindo fortes dores no abdômen e incapacidade de ir ao banheiro. Ao chegar, o paciente não informou aos médicos que tinha uma garrafa d´água de 250 ml dentro do intestino.
Somente após a tomografia computadorizada ficou constatado, pelo formato do objeto, o que tinha acontecido. O caso foi publicado, sem identificar o paciente, na revista Clinical Case Reports.
Após o exame, ele contou que inseriu a garrafa, imaginando que conseguiria retirá-la segurando a tampa. Mas, não conseguiu puxar o objeto, ficando alojado completamente em seu intestino grosso.
Os médicos do Hospital Imam Khomeini, em Sari, capital da província de Mazandarão, no Irã, disseram que o paciente não explicou o motivo de ter inserido o objeto em seu ânus.
Mas, cirurgiões do aparelho digestivo sabem que estes casos possuem relação direta com o prazer sexual que estes pacientes sentem com a introdução anal de objetos. Em geral, quando algo grave ocorre, escondem a prática por vergonha, tabu e medo de sofrerem humilhações.
O paciente foi levado às pressas para um procedimento cirúrgico onde recebeu anestesia e sedação para relaxar o músculo do esfíncter anal. Os médicos, cuidadosamente, conseguiram retirar a garrafa pelo ânus, sem lesões ou sangramento.
Objetos inseridos no reto podem perfurar o intestino, o que pode ser fatal se fezes vazarem para o interior do abdômen, podendo gerar infecção generalizada. Após 3 dias de internação, o paciente foi liberado e enviado para uma clínica psiquiátrica.
Fonte:https://www.jornalciencia.com/esposa-leva-marido-constipado-ao-hospital-e-medicos-encontram-garrafa-presa-no-intestino/
